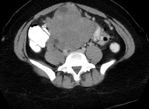
A small study of patients with histopathologically confirmed uterine sarcoma found that the results of FDG PET examinations were 100% positive, compared with the findings of MRI and ultrasound with power Doppler imaging Assessment with PET/CT, however, is limited by falsepositive results and the lack of widespread availability 1 Introduction Fibroid is the most common uterine neoplasm, with a prevalence of –30% in females older than 30 years of age Most patients are asymptomatic, but may be infertile or with uterine bleeding, pain, or palpable pelviabdominal mass The ultrasound appearance of a uterine myoma is usually characterized by a homogeneous or heterogeneous hypoechoic mass,Radiology Today Vol 21 No 8 P 30 History A 37yearold primigravida woman presented to the emergency department with acute, spontaneous in onset, left upper quadrant abdominal pain Physical examination revealed generalized abdominal guarding with a gravid uterus estimated at 18 to weeks of gestation
When Would You Suspect Fibroid Uterus
Heterogeneous uterus ultrasound radiology
Heterogeneous uterus ultrasound radiology- MR imaging findings of MAP include dark intraplacental bands on T2weighted images, disorganized intraplacental vascularity, abnormal uterine bulge, heterogeneous placenta, thinning or loss of the retroplacental dark zone on T2weighted images, myometrial thinning or focal disruption of the myometrium, invasion of adjacent organs (particularly the bladder), and tentingMRI is the current imaging gold standard to diagnose adenomyosis, but access is often limited by high costs and availability Transvaginal ultrasound provides a costeffective, accurate and readily available alternative The objective of our study was to determine the diagnostic accuracy of commonly described sonographic findings in predicting uterine adenomyosis



Presentation1 Pptx Radiological Imaging Of Uterine Lesions
Uterine leiomyomas (uterine fibroids) are benign tumours of myometrial origin and are the most common solid benign uterine neoplasm Commonly an incidental finding on imaging, they rarely cause a diagnostic dilemma They occur in ~25% of women of reproductive age and are particularly common in the African population Uterine adenomyosis is a common gynecologic condition that is characterized by the presence of heterotopic endometrial glands and stroma in the myometrium with adjacent smooth muscle hyperplasia The histopathologic features of adenomyosis are varied and contribute to its imaging appearanceUltrasound Obstet Gynecol 03;
Diagnostic Radiology 42 years experience Possibly diet Liver is affect by what we eat For example alcohol can cause that appearance Fatty foods also change the texture of the liver Heterogeneous uterus on ultrasound Heterogeneous thyroid gland ultrasound Ultrasound liver Enlarged liver ultrasound Liver ultrasound preparation The localization of intrauterine contraceptive devices (IUCDs) may be assessed by pelvic ultrasound examination The homogeneity of the myometrium is assessed, and the thickness of the endometrial cavity is measured, in addition to the length and width of the uterusThe words heterogeneous and heterogenous, and their antonyms homogeneous and homogenous, respectively, are commonly used in radiology reports and medical literatureThere is a seemingly widely held misconception that they represent alternative spellings of the same word, possibly with "heterogeneous" representing the British spelling whereas "heterogenous" being the US spelling
Heterogeneous myometrial echotexture A heterogeneous myometrial echotexture on ultrasound is usually a nonspecific finding, although it has been described with uterineUltrasound (US) is the accepted primary modality for the evaluation of abnormal uterine bleeding Sonohysterogram (SonoHSG) and magnetic resonance imaging (MRI) are useful for problem solving and when US is indeterminate A heterogeneous uterus is a term used to describe the appearance of the uterus after an ultrasound is conducted It simply means that the uterus is not totally uniform in appearance during the ultrasound According to MedHelp, there are two common causes of a heterogeneous uterus uterine fibroids and adenomyosis



Http Eknygos Lsmuni Lt Springer 295 61 100 Pdf



Adenomyosis Radiology Reference Article Radiopaedia Org
The purpose of this review was to discuss the clinical features of uterine sarcomas, as well as their imaging appearances and characteristics From this, practitioners can ensure that suspicious sonographic findings of uterine sarcomas, including a largesize, heterogeneous echotexture, central cystic change or necrosis, and hypervascularity1/2/13 mri myomatous degeneration in uterus1/15/13 ultrasound normal 4/25/14 us showed uterus enlarged, heterogeneous texture 128x40x80 no mass?Heterogeneous echogenicity and an irregular surface of a focal lesion or of the endometrium in a fluidfilled uterine cavity are useful ultrasound criteria for predicting endometrial malignancy Assessment of vascular morphology using color Doppler ultrasound is of limitedif any



129 Adenomyosis Radiology Key



Scielo Brasil Transvaginal Ultrasound In Deep Endometriosis Pictorial Essay Transvaginal Ultrasound In Deep Endometriosis Pictorial Essay
–627 J Ultrasound Med 12; Transabdominal grayscale ultrasound images of the normal uterus A, Sagittal imaging planeNote indentation below the lower uterine segment indicating the level of the internal os ( long arrows ), the striated appearance of the vagina ( short arrows ), the linear homogeneously echogenic endometrium (e), and the surrounding hypoechoic subendometrial halo ( arrowheads )Dr James Stone answered Interventional Radiology 17 years experience



Radiological Category Genitourinary Principal Modality 1 Ultrasound Principal



Cervical Fibroid Pedunculated Fibroids Uterus Ultrasound
Two reasons "The two most common causes of heterogenous uterus are uterine fibroids, which are benign muscular growths in the uterine wall, and adenomyosis, which Read More 729 views Answered >2 years ago Thank Ask US doctors your own question and get educational, text answers — it's anonymous and free! Transabdominal and transvaginal ultrasound was performed, which demonstrated a 14 x 12 x 12 cm irregular complex heterogeneous mass in the midline of the pelvis The uterus could not be separated from the mass (Fig 1, 2) The ovaries were clearly separated from the mass and appeared unremarkable Moderate bilateral hydronephrosis was notedThe size of uterus varies in different individual Uterine size was assessed by using transabdominal ultrasound Our objective in the present study was to define normal limits of uterine dimensions in parous and nulliparous women Becker and colleagues reported transvaginally obtained normal ranges in uterine dimensions



Imaging The Endometrium A Pictorial Essay Ppt Download



Spontaneous Abortion With Mri Correlates In The Emergency Department
Current treatments include hysterectomy, myomectomy, uterine artery embolization, magnetic resonance imaging (MRI)–guided focused ultrasound treatment, medical treatment based on hormone therapy (eg, progestin or gonadotropinreleasing hormone agonists), and endometrial ablation for women who are finished with childbearing The initial step in evaluating a woman with Sessile subserosal fibroids A little sessile subserosal fibroid on the superior face of the uterus (arrow) with heterogeneous low signal intensity on sagittal T2weighted image (TR 4,500 ms, TE 90 ms) (a) and with low signal enhancement on contrastenhanced fatsuppressed T1weighted image (TR 4 ms, TE 2 ms) (b)Another woman (c and d) with a sessile subserosal Transvaginal ultrasound shows an enlarged uterus with a finely heterogeneous echo pattern (Courtesy of Sherelle LaiferNarin, MD) FIGURE 1912 Two cases of



Www03 Core Ac Uk Download Pdf Pdf



The Diagnostic Accuracy Of Ultrasound In Assessment Of Myometrial Invasion In Endometrial Cancer Subjective Assessment Versus Objective Techniques
–808 807 Sakhel and Abuhamad—Sonography of Adenomyosis Figure 5 Measurement of the length of a posterior uterine wall that is greater than that of the anterior wall (calipers) and has a heterogeneous myometrial echo texture Figure 4 Heterogeneous myometrium is more prevalent and consistent indicator for the diagnosis of adenomyosis by ultrasound Though enlarged uterus is almost invariably present in cases of adenomyosis (93%), yet it is totally nonspecific and is also present in multiparous females (see Figure 3, Figure 4) Download Download fullsize image;For postmenopausal women, transvaginal ultrasound evalua



Uterine Imaging Article



The Assessment Diagnosis And Causes Of Endometrial Cancer Empowered Women S Health
Answer 'Heterogenous uterus' is a description used to describe the appearance of the uterus after an ultrasound exam is done All that this means is that the ultrasound appearance of the uterus is not totally uniform The two most common causes of heterogenous uterus are uterine fibroids, which are benign muscular growths in the uterine wallDuring the first days of the ultrasound cycle, the endometrial tissue is displayed as a heterogeneous structure that perfectly conducts sound waves and has a lower echogenicity with a thickness of 810 mm, echogenicity increases during the 34th day, the rate of the endometrial layer Complications of hysteroscopy are rare but may include infection, bleeding, uterine perforation, damage to adjacent structures, and even death A water sonogram (hysterosonogram) is a specialized ultrasound examination performed using a transvaginal ultrasound probe First, a small catheter is passed through the cervix and into the uterine cavity



Healthcare Free Full Text Differential Diagnosis Of Uterine Leiomyoma And Uterine Sarcoma Using Magnetic Resonance Images A Literature Review Html



Ultrasound Of The First Trimester Radiologic Clinics
Muscular hyperplasia and hypertrophy cause focal or diffuse myometrial thickening and globular uterine enlargement, often with thin "venetian blind" shadows The combination of these findings results in a heterogeneous myometrium, with blurring of the endometrial borderUnicornuate uterus is presented Abdominal and pelvic ultrasound revealed ahypertrophied right kidney measuring 130 cm, anormal right ovary, and absent left kidney and ovary Computerized tomography of the abdomen and pelvis confirmed absence of the left kidney and ovary and revealed aunicornuate uterus with absent left hornImaging of leiomyomas and their variants allows classification by location in the uterus and pretreatment planning Ultrasound is the firstline imaging modality because it is a costeffective portable realtime examination that provides good anatomic detail without radiation



Adenomyosis Medical Ultrasound Ultrasound Sonography Radiology Imaging



Endometrial Hyperplasia Radiology Reference Article Radiopaedia Org
Disruption of a subendometrial halo on ultrasound may be suggestive of myometrial involvement CT It means the texture of the uterus is not uniform on ultrasound A heterogeneous myometrial echotexture on ultrasound can be a non specific finding, of no significance, although it has been described with uterine adenomyosis, so talk to your doc about the results"plz explain my ultrsound report the anteverted uterus mesure 79x48x45mm a 6mm secretory phase endometrium is seen the left ovary measure 11cc and the right ovary measure 8cc no fluids or adnexal mass is seen the myometrium appears heterogeneous in ?" Answered by Dr Gerardo Guerra Bonilla Looking for?



Adenomyosis A Sonographic Diagnosis Radiographics



Obstetrics Gynecology Imaging Forum Home Facebook
In the highrisk group of women, ie those with an endometrial thickness of 5 mm or more, an evaluation of endometrial morphology and vascularization using grayscale and Doppler ultrasound imaging with or without the added use of sonohysterography (instillation of saline or gel into the uterine cavity during scanning) can be used to furtherThe postpartum uterus typically requires 6–8 weeks to involute and return to its typical nongravid size and appearance on ultrasound Although ultrasound is often performed in this period to evaluate for abnormalities such as RPOC, imaging of the postpartum uterus is complicated the postpartum uterus has a variable appearance, and there is significant overlap between theAdenomyosis (or uterine adenomyosis) is a common uterine condition of ectopic endometrial tissue in the myometrium, sometimes considered a spectrum of endometriosis Although most commonly asymptomatic, it may present with menorrhagia and dysmenorrhea Pelvic imaging (ie ultrasound, MRI) may show characteristic findings



Adenomyosis Radiology Case Radiopaedia Org



Why Adenomyosis Ultrasound Could Replace Mri In Diagnosis Empowered Women S Health
Introduction Uterine fibroids, also known as leiomyomas or myomas, are the commonest uterine neoplasms They are benign tumors of smooth muscle origin, with varying amounts of fibrous connective tissue Fibroids usually arise in the myometrium but may occasionally be found in the cervix, broad ligament or ovaries1,2 They are multiple in up to 84% of womenUltrasound features that are suggestive of endometrial carcinoma rather than hyperplasia include 17 heterogeneous and irregular endometrial thickening;On ultrasound imaging, the presence of fibroids can usually be detected by heterogeneous enlargement of the uterus due to the presence of welldemarcated, hypoechoic masses within the myometrium However, Fibroids may also appear isoechoic or hyperechoic



Thickened Endometrium On Ultrasound In A Post Menopausal Patient Radiology In Plain English



Gray Scale Transvaginal Us Demonstrating Uterus Increased In Volume Download Scientific Diagram
Haemorrhagic cellular leiomyoma Section Genital (female) imaging Case Type Clinical Cases Authors M Rosário Matos 1, Teresa Margarida Cunha 2 1 Department of Radiology, Hospital de Dona Estefânia – Centro Hospitalar de Lisboa Central 2 Department of Radiology, Instituto Português de Oncologia Francisco Gentil de Lisboa US shows a heterogeneous uterus with tubular anechoic spaces in the myometrium CDU shows a bright color mosaic of the vascular tangle CDU shows a bright color mosaic of the vascular tangle Spectral Doppler arterial waveforms are of highvelocity and lowresistance characteristic of arteriovenous shunting In some cases, the endometrium cannot be evaluated with ultrasound that may be due to fibroids, the position of the uterus or endometrial cancer These patients benefit from further evaluation with MRI ()Cases of endometrial cancer present with a thickened heterogeneous endometrium on T2 that enhances earlier than normal endometrium on dynamic gadolinium



Www Bmus Org Static Uploads Resources Uterus Endometrium Common Uncommon Pathologies Bmus York Pdf



Answer To What S Your Diagnosis Previous Page Annals Of Saudi Medicine
Adenomatoid uterine tumors are rare, and their appearance on medical imaging modalities is not well established We present a case of an adenomatoid uterine tumor reviewing a unique sonographic presentation, magnetic resonance imaging (MRI), gross surgical appearance of the tumor, and microscopic pathology imagesUnlike ultrasound and magnetic resonance imaging (MRI), computed tomography (CT) is uterine arteries, branches of the anterior division of the internal iliac arteries (Fig 1) Yitta et al 13 described a fourth heterogeneous and multifocal enhancement pattern of the entire myometrium (Fig 4 and 10) Although ultrasound (US) is almost always the first modality used in the radiologic workup of endometrial disease, findings at sonohysterography, hysterosalpingography, magnetic resonance imaging, and computed tomography are often correlated with US findings



How To Diagnose Adenomyosis Why Are We Missing It Sydney Fibroid Clinic



A Diagnostic Algorithm Using Multi Parametric Mri To Differentiate Benign From Malignant Myometrial Tumors Machine Learning Method Scientific Reports
Uterine sarcomas present as purely myometrial lesions and are typically single, large tumors 41 Their ultrasound features may be indistinct from those of ordinary fibroids 42 or they may appear as an irregularly vascularized mass, with a regular or irregular outline, often with irregular anechoic areas due to necrosis 4349



Epos



Pelvic Usg Uterus And Ovaries Radiology Key



Adenomyosis A Sonographic Diagnosis Radiographics



Dr Aimee Maceda On Adenomyosis Progressive Radiology



Adenomyosis In Infertile Women Prevalence And The Role Of 3d Ultrasound As A Marker Of Severity Of The Disease Reproductive Biology And Endocrinology Full Text



Radiological Category Genitourinary Principal Modality 1 Ultrasound Principal



Sonography Of Uterine Myometrial Disorders Youtube



Adenomyosis Hyperechoic Nodules Top Left Sagittal Section Through Download Scientific Diagram



Differential Diagnosis For Female Pelvic Masses Intechopen



When Would You Suspect Fibroid Uterus



Magnetic Resonance Imaging Features Of Myxoid Leiomyoma Of The Vagina A Case Report Topic Of Research Paper In Clinical Medicine Download Scholarly Article Pdf And Read For Free On Cyberleninka Open



Uterine Cancers Radiology Key



Sagittal Stir Mri Of The Uterus Of The Same Patient With Focal Uterine Download Scientific Diagram



Presentation1 Pptx Radiological Imaging Of Uterine Lesions



Adenomyosis A Sonographic Diagnosis Radiographics



Scielo Brasil Tumors Of The Broad Ligament What And When To Suspect Such Rare Location Tumors Of The Broad Ligament What And When To Suspect Such Rare Location



Venetian Blind Shadowing On Ultrasound Semantic Scholar



Adenomyosis Common And Uncommon Manifestations On Sonography And Magnetic Resonance Imaging Chopra 06 Journal Of Ultrasound In Medicine Wiley Online Library



1



Accuracy Of Findings In The Diagnosis Of Uterine Adenomyosis On Ultrasound Semantic Scholar



When Would You Suspect Fibroid Uterus



Adenomyosis Common And Uncommon Manifestations On Sonography And Magnetic Resonance Imaging Chopra 06 Journal Of Ultrasound In Medicine Wiley Online Library



How To Diagnose Adenomyosis Why Are We Missing It Sydney Fibroid Clinic



Sagittal View Of The Uterus On Trans Vaginal Ultrasound A Bulky Download Scientific Diagram



Scielo Brasil Transvaginal Ultrasound In Deep Endometriosis Pictorial Essay Transvaginal Ultrasound In Deep Endometriosis Pictorial Essay



3



Adenomyosis Symptoms Causes And Treatment Options



Figure 4 Accuracy Of Findings In The Diagnosis Of Uterine Adenomyosis On Ultrasound Springerlink



Management Of Uterine Adenomyosis Current Trends And Uterine Artery Embolization As A Potential Alternative To Hysterectomy Insights Into Imaging Full Text



What Are The Most Reliable Signs For The Radiologic Diagnosis Of Uterine Adenomyosis An Ultrasound And Mri Prospective Sciencedirect



Adenomyosis Wikidoc



Http Www Fertstert Org Article S0015 02 18 4 Pdf



Retained Products Of Conception An Atypical Presentation Diagnosed Immediately With Bedside Emergency Ultrasound



Uterine Leiomyoma Fibroid Imaging Overview Radiography Computed Tomography



Adenomyosis A Sonographic Diagnosis Radiographics



1



Uterine Adenomyosis Noninvasive Diagnosis Mdedge Obgyn



Abnormally Thickened Endometrium Differential Radiology Reference Article Radiopaedia Org



Effect Of Magnetic Resonance Imaging Characteristics On Uterine Fibroi Rmi



Adenomyosis In An 18 Year Old Adolescent A Case Report



Pelvic Imaging In Reproductive Endocrinology Oncohema Key



Role Of Transvaginal Ultrasound In Detection Of Endometrial Changes In Breast Cancer Patients Under Hormonal Therapy Egyptian Journal Of Radiology And Nuclear Medicine Full Text



Module 5 Pelvis Imaging



Dr Aimee Maceda On Adenomyosis Progressive Radiology



Case Ultrasound Cases



Pin On Adenomyosis



Radiology In The Diagnosis Staging And Management Of Gynecologic Malignancies Glowm



What Are The Most Reliable Signs For The Radiologic Diagnosis Of Uterine Adenomyosis An Ultrasound And Mri Prospective Sciencedirect



Apps Who Int Iris Bitstream Handle Eng Ch3and4 Pdf Sequence 7 Isallowed Y



Consider Ultrasound First For Imaging The Female Pelvis American Journal Of Obstetrics Gynecology



Www Aium Org Misc Soundjudgment6 Pdf



Adenomyosis Imaging Practice Essentials Magnetic Resonance Imaging Ultrasonography



Radiology In The Diagnosis Staging And Management Of Gynecologic Malignancies Glowm



Endometrial Stromal Sarcoma



Colour Doppler Evaluation Of Uterine And Ovarian Blood Flow In Patients Of Polycystic Ovarian Disease And Post Treatment Changes Clinical Radiology



42 Year Old Woman With Abnormal Uterine Bleeding Mdedge Obgyn



Sonohysterography Principles Technique And Role In Diagnosis Of Endometrial Pathology



Benign Disease Of The Uterus Springerlink



Role Of Mri For Evaluation Of Uterine Giant Myoma Case Report Science Publishing Group



Uterine Pathology And Anomalies Chapter 4 Ultrasound In Assisted Reproduction And Early Pregnancy



1



Terms Definitions And Measurements To Describe Sonographic Features Of Myometrium And Uterine Masses A Consensus Opinion From The Morphological Uterus Sonographic Assessment Musa Group Van Den Bosch 15 Ultrasound



Answer To What S Your Diagnosis Previous Page Annals Of Saudi Medicine



Abnormally Thickened Endometrium Differential Radiology Reference Article Radiopaedia Org



What Are The Most Reliable Signs For The Radiologic Diagnosis Of Uterine Adenomyosis An Ultrasound And Mri Prospective Sciencedirect



Healthcare Free Full Text Differential Diagnosis Of Uterine Leiomyoma And Uterine Sarcoma Using Magnetic Resonance Images A Literature Review Html



Updated Applications Of Ultrasound In Uterine Cervical Cancer



Differential Diagnosis For Female Pelvic Masses Intechopen



Cureus Polypoid Adenomyoma Of The Uterus



Choriocarcinoma A Rapidly Progressive Unusual Tumor Eurorad



Magnetic Resonance Imaging Of Non Puerperal Complete Uterine Inversion Iranian Journal Of Radiology Full Text



Presentation1 Pptx Radiological Imaging Of Uterine Lesions



Management Of Adenomyosis Endovascular Today



Adenomyosis A Sonographic Diagnosis Radiographics



Influences Of Screening Magnetic Resonance Imaging Parameters On High Rmi



Http Www Fertstert Org Article S0015 02 18 4 Pdf



Apps Who Int Iris Bitstream Handle Eng Ch3and4 Pdf Sequence 7 Isallowed Y



Http Webcir Org Revistavirtual Articulos 17 1 Febrero Pt Uterus Eng Pdf


0 件のコメント:
コメントを投稿